
Clínica especializada em Implantes Dentários em Imperatriz.
Oferecemos implantes e próteses para sorrisos radiantes e saúde duradoura.


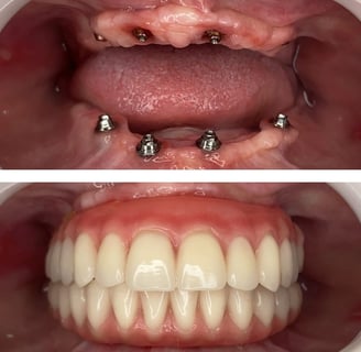
Implante Dentário e Prótese Protocolo
Implantes Dentários


Diga adeus às inseguranças e dê boas-vindas a um sorriso que transforma vidas! A prótese protocolo é a solução perfeita para quem busca:
✅ Conforto e adaptação rápida
✅ Confiança para sorrir sem medo
✅ Estética impecável com funcionalidade
✅ Céu da boca livre
E o melhor: com um processo ágil, você pode ter seu novo sorriso em até 72 horas!
CARGA IMEDATA
Como é possível fazer implantes dentários em 72 horas?
Utilizamos técnicas modernas como a “all on four” para ancoragem óssea, nessa técnica, mesmo os pacientes com pouca estrutura óssea conseguem realizar seus implantes dentários.
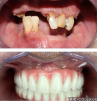
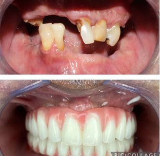
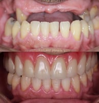
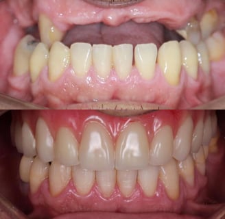
ANTES E DEPOIS
Os resultados dos nossos pacientes






Temos dezenas de casos onde nossos pacientes passaram pela reabilitação total com implantes dentários, ou fizeram apenas prótese protocolo superior/inferior. Veja alguns dos resultados.






ONDE ESTAMOS?
⏱
© 2025. All rights reserved.
Agende uma avaliação com o especialista em Implantes Dentários clicando no botão abaixo.
Atendimento de segunda a sexta, das 09h00 as 18h00
Clínica Saúde Oral - R. Hermes da Fonseca, 1000 - Juçara, Imperatriz - MA, 65903-160
WhatsApp: (99) 98403-4800
☎
Responsável técnico:
Dr Domingos Henrique Sampaio
Cirurgião Dentista │ CRO-MA 3678
